| 2주전 네이처에는 발표된 홍콩대 리하이 교수 팀의 연구 결과(관련기사)에 따르면 독서장애를 일으키는 뇌 부위가 문화에 따라 다르다. 알파벳 같은 소리글자를 못읽는 건 글자를 소리로 바꿔주는 좌뇌 측두두정엽에 문제가 있기 때문이고, 한자처럼 뜻글자를 못읽는 건 모양과 뜻을 연결시켜주는 좌뇌 중간전두이랑에 문제가 있기 때문이다. 그래서 어느 나라 말은 읽고 다른 나라 말은 못 읽는 경우가 생긴다고. |

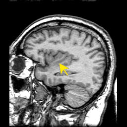
측두두정엽과 중간전두이랑. 출처는The Whole Brain Atlas
처음 읽었을 땐 대단한 발견이라고 생각했는데 포스트를 쓰다보니 당연한 소리다. –;
퍼오면서…
이 글을 읽으면서 한글의 우수성을 한 번 더 생각하게 됐다. 눈으로 글자를 파악하는 순간부터 우리가 뜻을 알아내는데에는…
한문같은 뜻문자는 3단계, 한글같은 소리문자도 3단계…
하지만 영어는 어중간한 소리문자(관습적인 것이 많아서 소리문자라지만 뜻문자같은 경향이 강하다.)이기 때문에 총 5단계의 지각의 단계를 거친다.
위 글만으로 살펴봐도…
한글은 완벽한 소리글자이기 때문에 측두두정엽에 문제가 있을 때 읽기가 곤란해진다.
한문은 완벽한 뜻글자이기 때문에 중간전두이랑에 문제가 있을 때 읽기가 곤란해진다.
반면 영어는 어중간한 소리글자이기 때문에 이 둘중 한 곳에 문제가 생기면 읽기가 곤란해진다. 뿐만 아니라 이는 쓰기에도 영향을 미친다.
아무리 미국에서 교육을 철저히 시켜도 문맹율이 우리나라보다 높은 것은 이러한 필연한 이유가 있다!! 만약 국어학자들이 한글의 원래 근원을 밝혀적는다거나 하는 많은 변경사항을 둔다면 점차적으로 영어처럼 사람들이 인식하기 힘든 문자로 바뀔 것이다. 그래서 최대한 소리문자로 남도록 노력해야 한다. (변화가 있다면 그것을 수렴해서 모든 사람들이 알 수 있도록 고치는 것이 국어학자들의 할 일이라고 생각한다.)
뱀발 : mentalese님의 블로그에서 있는 글을 퍼왔습니다. 물론 원본은 네이처…


괄호 안의 마지막 문장이 (그냥 개인적으로) 참 마음에 듭니다.
미국 문맹율 설명은 정말 타당한 것이구요~~
이 글을 읽음으로써, ‘언어치료’라는 전공을 흘낏 엿볼 수 있으리라 생각합니다.
좋은 글 잘 보고 갑니다 :)
참, 그리고 mentalese님 블로그는 저도 종종 들리는 곳입니다. 그 곳 글들이 참신(?)하고, 배울 것도 많아서요. 초절정님 댓글도 보고 왔습니다 :)